To evaluate the feasibility of using ultra‐low‐dose computed tomography of the chest with iterative reconstruction without anesthesia for assessment of pulmonary diseases in children.
MethodsThis prospective study enrolled 86 consecutive pediatric patients (ranging from 1 month to 18 years) that underwent ultra‐low‐dose computed tomography due to suspicion of pulmonary diseases, without anesthesia and contrast. Parameters used were: 80kVp; 15–30mA; acquisition time, 0.5s; and pitch, 1.375. The adaptive statistical iterative reconstruction technique was used. Subjective visual evaluation and quantitative assessment of image quality were done using a 5‐point scale in 12 different structures of the chest.
ResultsMean age was 66 months (interquartile range, 16–147). Final diagnosis was performed in all exams, and 44 (51.2%) were diagnosed with cystic fibrosis, 27 (31.4%) with bronchiolitis obliterans, and 15 (17.4%) with congenital pulmonary airways malformations. Diagnostic quality was achieved in 98.9%, of which 82.6% were considered excellent and 16.3% were slightly blurred but did not interfere with image evaluation. Only one case (1.2%) presented moderate blurring that slightly compromised the image, and previous examinations demonstrated findings compatible with bronchiolitis obliterans. Mean effective radiation dose was 0.39±0.15mSv. Percentages of images with motion artifacts were 0.3% for cystic fibrosis, 1.3% for bronchiolitis obliterans, and 1.1% for congenital pulmonary airways malformations.
ConclusionChest ultra‐low‐dose computed tomography without sedation or anesthesia delivering a sub‐millisievert dose can provide image quality to allow identification of common pulmonary anatomy and diseases.
Avaliar a viabilidade do uso de tomografia computadorizada com ultrabaixa dose com reconstrução iterativa sem anestesia para avaliação de doenças pulmonares em crianças.
MétodosEste estudo prospectivo envolveu 86 pacientes pediátricos consecutivos (um mês a 18 anos) submetidos à tomografia computadorizada com ultrabaixa dose por suspeita de doenças pulmonares, sem anestesia e contraste. Os parâmetros utilizados foram: 80 kVp; 15‐30mA; tempo de aquisição, 0,5s; e pitch de 1,375. Foi utilizada a técnica de reconstrução estatística adaptativa iterativa. A avaliação visual subjetiva e a avaliação quantitativa da qualidade da imagem foram feitas com uma escala de 5 pontos em 12 estruturas do tórax.
ResultadosA média de idade foi de 66 meses (intervalo interquartil, 16‐147). O diagnóstico final foi feito em todos os exames e 44 (51,2%) foram diagnosticados com fibrose cística, 27 (31,4%) com bronquiolite obliterante e 15 (17,4%) com malformação congênita pulmonar das vias aéreas. A qualidade diagnóstica foi alcançada em 98,9% dos casos, dos quais 82,6% foram considerados excelentes e 16,3% alteração leve na definição, mas isso não interferiu na avaliação da imagem. Apenas um caso (1,2%) apresentou alteração moderada na definição, comprometeu discretamente a imagem, e exames prévios demonstraram achados compatíveis com bronquiolite obliterante. A dose de radiação média efetiva foi de 0,39±0,15mSv. As porcentagens de imagens com artefatos de movimento foram de 0,3% para fibrose cística, 1,3% para bronquiolite obliterante e 1,1% para malformação congênita pulmonar das vias aéreas.
ConclusãoÉ possível realizar a tomografia computadorizada com ultrabaixa dose torácica sem sedação ou anestesia, administrando uma dose de submilisievert, com qualidade de imagem suficiente para a identificação pulmonar anatômica e de doenças pulmonares comuns.
Nos Estados Unidos, aproximadamente 4 a 7 milhões de tomografias computadorizadas são feitas em crianças por ano.1 No entanto, a radiação ionizante ainda representa uma grande preocupação. A dose de radiação é extremamente importante em crianças, pois elas são mais suscetíveis ao desenvolvimento de carcinogênese induzida por radiação devido à maior expectativa de vida pós‐exposição e órgãos mais sensíveis aos efeitos oncogênicos da radiação.2 Um estudo de coorte demonstrou que pacientes submetidos a doses cumulativas mais altas do que 50 mGy e 60 mGy apresentaram risco três vezes maior de leucemia e câncer cerebral, respectivamente.3 Por essa razão, a comunidade radiológica tem procurado estratégias para reduzir a exposição à radiação sem diminuir a qualidade da imagem, seguem‐se princípios como o Alara (do inglês As Low As Reasonably Achievable; em português: “Tão baixa quanto razoavelmente possível).4 Uma dessas estratégias inclui o uso de técnicas de reconstrução.5
Outra preocupação comum em imagiologia pediátrica é a sedação/anestesia geral. As crianças pequenas frequentemente têm dificuldades de permanecer paradas durante o exame, o que leva a uma baixa qualidade do estudo e aumenta a probabilidade de erros diagnósticos. No entanto, a sedação está associada a potenciais efeitos adversos, principalmente devido à depressão da consciência induzida por fármacos, com potencial perda de reflexos de proteção.6 Além dos eventos agudos, a anestesia geral (AG) também tem sido associada a efeitos neurotóxicos de longa duração. Estudos em crianças menores de três anos que foram submetidas à AG demonstraram que algumas drogas sedativas podem estar associadas a efeitos neurotóxicos funcionais de longa duração, como prejuízo da memória e aumento do risco de distúrbios do desenvolvimento e do comportamento.7–10
Poucos estudos avaliaram a aplicabilidade potencial de técnicas de reconstrução, como a reconstrução estatística adaptativa iterativa (Asir, do inglês, Adaptive statistical iterative reconstruction) para TC torácica pediátrica e todos usaram anestesia geral para reduzir os artefatos de movimento.11–13 Devido ao risco cumulativo da dose de radiação, crianças com doença pulmonar crônica, quando submetidas a muitas tomografias durante a vida, podem apresentar um risco maior de carcinogênese e reações adversas decorrentes de sedação. Portanto, o objetivo deste estudo foi avaliar a viabilidade do uso de TC com ultrabaixa dose (TCUBD) com reconstrução iterativa, sem sedação e sem contraste, em crianças para avaliar doenças pulmonares.
Material e métodosParticipantesCom a aprovação do nosso conselho de ética institucional, este estudo prospectivo incluiu dados de 86 pacientes consecutivos entre janeiro de 2016 e outubro de 2017. Foi obtido o consentimento por escrito da pessoa legalmente responsável pelo paciente. Os critérios de inclusão foram: pacientes entre um mês e 18 anos, submetidos à TCUBD do tórax com reconstrução Asir por suspeita de doença pulmonar crônica. Os critérios de exclusão foram: pacientes com suspeita de doença pulmonar intersticial (DPI), pois os protocolos da TCUBD apresentam grande limitação na avaliação da DPI.14 Todos os indivíduos do estudo eram pacientes ambulatoriais com indicação eletiva para tomografia computadorizada. Todos os procedimentos feitos nos estudos que envolveramdo participantes humanos estavam de acordo com os padrões éticos do comitê de ética institucional e/ou nacional e com a Declaração de Helsinque de 1964 e suas alterações posteriores ou padrões éticos comparáveis.
Protocolos da TCTodas as imagens foram obtidas com o paciente em decúbito dorsal, usou‐se um tomógrafo multidetector de 16 fileiras (Lightspeed General Electric Healthcare, Milwaukee WI, EUA). Os parâmetros usados foram: 80 kVp; tempo de aquisição, 0,5 s; e pitch, 1,375. A corrente escolhida variou de 15 mAs a 30 mAs de acordo com o tamanho e peso do paciente: 1 mês – 2 anos, 15mA; 2 – 4 anos, 20mA; 4 – 12 anos, 25mA; e >12 anos, 30mA.
As imagens foram adquiridas com um corte com espessura de 1mm. Somente aquisições de inspiração foram obtidas, sem técnicas de expiração. As reconstruções foram feitas nos planos axial e coronal, com Asir (100%) (General Electric Healthcare, Milwaukee WI, EUA).
As doses de radiação recebidas durante a tomografia computadorizada foram coletadas do protocolo de cada paciente. O produto dose‐comprimento (DLP, do inglês Dose‐Length Product) foi registrado para cada paciente. A dose efetiva (E) de radiação foi estimada multiplicando‐se o DLP e coeficientes específicos determinados pela Comissão Internacional de Proteção Radiológica, de acordo com a idade para tomografia computadorizada de tórax.15
Todos os exames foram feitos sem qualquer tipo de sedação. Além disso, nenhum agente de contraste intravenoso foi usado para este estudo. Embora tenhamos decidido usar apenas protocolos sem contraste, os pacientes com suspeita de malformação congênita pulmonar das vias aéreas (CPAM) na TCUBD inicial foram submetidos à angio‐TC para avaliar a possibilidade de coexistência de sequestro pulmonar.
Avaliação da qualidade da imagemTodos os exames foram analisados com a Advantage Workstation 4.2. (General Electric Healthcare Technologies, Waukesha, WI, EUA), a partir do Sistema de Comunicação e Distribuição de Imagens (PACS; PixView Star; INFINITT Healthcare Co. Ltd., Seul, Coreia do Sul). O artefato de movimento foi medido para cada imagem pelos dois radiologistas e foi classificado em sim ou não e descrito em porcentagem em comparação com todos os exames.
O ruído da imagem foi definido como desvio‐padrão (DP) de atenuação medido no ar do lúmen traqueal acima do arco aórtico. A atenuação foi medida por um investigador. A região de interesse (ROI, do inglês Region of Interest) foi medida no lúmen traqueal acima do arco aórtico e o tamanho e a localização das ROIs foram mantidos constantes durante todas as séries. O DP foi calculado três vezes e o valor da mediana foi usado na análise.
A avaliação da qualidade da imagem foi feita de forma independente por dois radiologistas de tórax (com 15 e cinco anos de experiência) com treinamento em radiologia torácica e cegos para os dados clínicos. Os leitores eram de instituições diferentes de onde os exames foram feitos, de modo a evitar o contato prévio com as imagens e prevenir vieses. A qualidade foi avaliada com o uso como referência de estruturas pulmonares normais e lesões pulmonares variadas. A avaliação visual subjetiva verificou se a visualização era possível para as seguintes 12 estruturas torácicas: (1) traqueia e brônquios primários, (2) linfonodos paratraqueais, (3) linfonodos subcarinais, (4) brônquio do lobo superior, (5) brônquio do lobo médio, (6) brônquio do lobo inferior direito, (7) brônquio do lobo superior esquerdo, (8) brônquio do lobo inferior esquerdo, (9) segmentos apicais, (10) segmentos basais mediais, (11) artéria aórtica e (12) artéria pulmonar. Decidimos incluir os linfonodos mediastinais como estruturas de referência com base nos resultados de um estudo anterior, o qual demonstrou boa acurácia na detecção de linfonodos mediastinais em exames sem contraste em crianças.16
A avaliação quantitativa da qualidade de imagem das estruturas pulmonares normais foi avaliada em uma escala de 5 pontos: 1 = qualidade de imagem excelente sem artefatos; 2 = alteração leve na definição que não interferia na avaliação da imagem; 3 = alteração moderada na definição que comprometia levemente a avaliação de imagem; 4 = alteração grave na definição que comprometia a avaliação da imagem; 5 = baixa qualidade de imagem devido à presença de artefatos que comprometiam o diagnóstico. Os escores 1 e 2 representaram a qualidade diagnóstica. A avaliação quantitativa foi feita em cinco origens de brônquios e vasos: a) vias aéreas principais, inclusive brônquios primários e intermediários; b) brônquios segmentares e vasos; c) brônquios e vasos subsegmentares; d) vasos subsubsegmentares; e) pleura e espaço subpleural. Uma análise de qualidade não diagnóstica foi definida como a presença de duas ou mais imagens com escore de 3 a 5 para cada um desses tecidos analisados. Quando o teste foi considerado como tendo qualidade não diagnóstica, os radiologistas revisaram os exames de TC anteriores para chegar ao diagnóstico final. Os escores foram somados e as imagens foram classificadas de acordo com os pontos de corte pré‐estabelecidos (24‐25 pontos = escore 1; 20‐23 pontos = escore 2; 15‐19 = escore 3; 10‐14 pontos = escore 4, 5‐9 pontos = escore 5).
A razão de ruído e o DLP foram estratificados por idade de acordo com o ponto de corte previamente estabelecido na literatura (um ano ou menos; dois a oito anos; oito a 14 anos; 15 anos ou mais).17
Análise estatísticaA análise dos dados incluiu estatística descritiva. O teste de Shapiro‐Wilk foi usado para avaliar a distribuição dos dados. As análises foram feitas com média e desvio‐padrão ou mediana e intervalo interquartil (IIQ) para variáveis contínuas e proporções para dados nominais. As variáveis contínuas foram comparadas com o teste t de Student independente, enquanto o teste exato de Fischer foi usado para variáveis nominais. Valores de p bicaudal < 0,05 foram considerados para indicar significância estatística. Todas as análises estatísticas foram feitas com o software SPSS (Statistical Package for Social Sciences, versão 22, SPSS Inc., IL, EUA); Excel 2010 (Microsoft Corporation, WA, EUA).
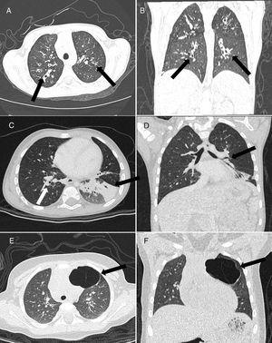
ResultadosA amostra do estudo consistiu em 86 pacientes (sexo feminino, n = 47; 54,7%), com média de 66 meses (IIQ, 16‐147). A maioria tinha entre dois e oito anos (34,8%) ou ≤ 1 ano (29%) (tabela 1). Apenas três doenças foram identificadas neste estudo. A fibrose cística (FC) foi diagnosticada em 44 (51,2%) (fig. 1A and B), bronquiolite obliterante (BO) em 27 (31,4%) (fig. 1C and D) e a CPAM em 15 pacientes (17,4%) (fig. 1E and F). Todos os indivíduos com suspeita de CPAM foram submetidos à angio‐TC, sequestro pulmonar concomitante foi diagnosticado em dois (15,3%) casos.
Características dos indivíduos e análises visuais e quantitativas por TC e diagnósticos finais
| Parâmetros | n = 86 |
|---|---|
| Sexo feminino | 47 (54,7) |
| Idade (meses) | 66 (16‐147) |
| Faixa etária (anos) | |
| ≤ 1 | 25 (29) |
| 2‐8 | 30 (34,8) |
| 9‐14 | 16 (18,6) |
| ≥ 15 | 15 (15,6) |
| Razão de ruído, média ± DP (HU) | 45,5 ± 12,4 |
| Porcentagem de imagens com artefato de movimento, mediana (IIQ) | 0,8 (0,0‐2,9) |
| DE, média ± DP (mSv) | 0,39 ± 0,15 |
| Identificação de estruturas, n (%) | |
| Traqueia e brônquios primários | 86 (100) |
| Linfonodos paratraqueais | 84 (97,7) |
| Linfonodos subcarinais | 86 (100) |
| Brônquio do lobo superior direito | 86 (100) |
| Brônquio do lobo médio | 85 (98,8) |
| Brônquio do lobo inferior direito | 86 (100) |
| Brônquio do lobo superior esquerdo | 86 (100) |
| Brônquio do lobo inferior esquerdo | 86 (100) |
| Segmentos apicais | 84 (97,7) |
| Segmento basal medial | 84 (97,7) |
| Artéria aórtica | 86 (100) |
| Artéria pulmonar | 86 (100) |
| Escore da qualidade de imagem | |
| 1 | 71 (82,6) |
| 2 | 14 (16,3) |
| 3 | 1 (1,2) |
| 4 | ‐ |
| 5 | ‐ |
| Diagnóstico final, n (%) | |
| Fibrose cística | 44 (51,2) |
| Bronquiolite obliterante | 27 (31,4) |
| Malformação congênita pulmonar das vias aéreas | 15 (17,4) |
DE, dose efetiva; IIQ, intervalo interquartile; TC, tomografia computadorizada.
Os dados são apresentados como média ± DP ou n° (%)
Paciente do sexo masculino, oito anos. Imagens de TC axial (A) e coronal (B) com ultrabaixa dose demonstraram bronquiectasias cilíndricas (centrais) peri‐hilares (setas), sugestivas de fibrose cística. Imagens de TC axial (C) e coronal (D) com ultrabaixa dose mostram um caso de uma criança do sexo masculino de três anos com espessamento da parede brônquica (seta branca) e atelectasia no lobo inferior esquerdo (seta preta), sugestivo de bronquiolite obliterante. Imagens de TC axial (E) e coronal (F) com ultrabaixa dose demonstraram malformação congênita pulmonar das vias aéreas de tipo I no lobo superior esquerdo (seta) – Malformação adenomatoide cística pulmonar – em uma criança do sexo feminino de cinco anos.
A dose de radiação efetiva média foi de 0,39 ± 0,15 mSv. A mediana do ruído da imagem foi de 45,5 ± 12,4 HU. A porcentagem média de imagens com artefatos de movimento foi de 0,8% (IQR, 0,0 – 1,0%). Dados sobre as avaliações subjetivas e quantitativas estão descritos na tabela 1. A visualização de todas as 12 estruturas analisadas na avaliação visual subjetiva foi possível em quase todos os casos. Linfonodos paratraqueais, segmentos apicais e segmentos basais mediais não puderam ser visualizados em dois indivíduos (2,3%) e o brônquio do lobo médio em um paciente (1,2%). Na avaliação quantitativa da qualidade da imagem, os exames mostraram excelente qualidade (escore 1) em 82,6% e qualidade diagnóstica (escores 1 ou 2) em 98,9%. Apenas um caso (1,2%), do sexo masculino, de quatro anos, apresentou embaçamento moderado da imagem, comprometia discretamente a imagem (escore 3), e exames prévios demonstraram achados compatíveis com BO.
Ao analisar a mediana da taxa de ruído separadamente por faixas etárias, não houve diferença significativa entre os grupos (fig. 2A). Por outro lado, a mediana do DLP foi maior nas faixas etárias mais elevadas (fig. 2B).
Na análise secundária, que separou os indivíduos de acordo com o diagnóstico final, não houve diferença na razão média de ruído entre as patologias (p = 0,612). Por outro lado, houve diferenças estatisticamente significantes para a mediana da porcentagem de artefatos de movimento (p < 0,001) e dose efetiva média (p = 0,009). Exames de pacientes com FC apresentaram maior E média e menor porcentagem de imagens com artefatos de movimento. A tabela 2 resume as variáveis de acordo com os diagnósticos finais.
Análises visuais e quantitativas por TC de acordo com os diagnósticos finais
| Variáveis | FC (n = 44) | BO (n = 27) | CPAM (n = 15) | p‐valor |
|---|---|---|---|---|
| Razão de ruído, média ± DP (HU) | 46,6 ± 13,6 | 45,4 ± 11,3 | 42,9 ± 10,7 | 0,612 |
| Porcentagem de imagens com artefato de movimento, mediana (IIQ) (%) | 0,3 (0 – 1) | 1,3 (0,8 – 3,8) | 1,1 (0,4 – 7) | <0,001 |
| DE, média ± DP (mSv) | 0,43 ± 0,17 | 0,34 ± 0,012 | 0,3 ± 0,11 | 0,009 |
| Identificação de estruturas, n (%) | ||||
| Traqueia e brônquios primários | 44 (100) | 27 (100) | 15 (100) | ‐ |
| Linfonodo paratraqueal | 42 (95,5) | 27 (100) | 15 (100) | 0,376 |
| Linfonodo subcarinal | 44 (100) | 27 (100) | 15 (100) | ‐ |
| Brônquio do lobo superior direito | 44 (100) | 27 (100) | 15 (100) | ‐ |
| Brônquio do lobo médio | 44 (100) | 27 (100) | 14 (93,3) | 0,091 |
| Brônquio do lobo inferior direito | 44 (100) | 27 (100) | 15 (100) | ‐ |
| Brônquio do lobo superior esquerdo | 44 (100) | 27 (100) | 15 (100) | ‐ |
| Brônquio do lobo inferior esquerdo | 44 (100) | 27 (100) | 15 (100) | ‐ |
| Segmento apical | 43 (97,7) | 26 (96,3) | 15 (100) | 0,747 |
| Segmento basal medial | 44 (100) | 26 (96,3) | 14 (93,3) | 0,284 |
| Artéria aórtica | 44 (100) | 27 (100) | 15 (100) | ‐ |
| Artéria pulmonar | 44 (100) | 27 (100) | 15 (100) | ‐ |
| Escore da qualidade de imagem, n (%) | 0,666 | |||
| 1 | 37 (84,1) | 22 (81,5) | 12 (80,0) | ‐ |
| 2 | 7 (15,9) | 4 (14,8) | 3 (20,0) | ‐ |
| 3 | 0 (0,0) | 1 (3,7) | 0 (0,0) | ‐ |
| 4 | 0 (0,0) | 0 (0,0) | 0 (0,0) | ‐ |
| 5 | 0 (0,0) | 0 (0,0) | 0 (0,0) | ‐ |
BO, bronquiolite obliterante; CPAM, malformação congênita pulmonar das vias aéreas; DE, dose efetiva; FC, fibrose cística; IIQ, intervalo interquartile; TC, tomografia computadorizada.
Nosso estudo avaliou o desempenho diagnóstico da TCUBD sem anestesia para doenças pulmonares em crianças. Descrevemos imagens de TC com qualidade diagnóstica na maioria dos casos combinadas com uma importante redução nas doses de radiação. Além disso, nossos resultados demonstraram a viabilidade de exames sem sedação, com uma baixa porcentagem de artefatos de movimento e ruído de imagem. Apenas um paciente apresentou má qualidade de imagem devido à dispneia intensa e para quem a revisão de exames retrospectivos revelou um possível diagnóstico de BO. A razão de ruído foi semelhante entre as faixas etárias, mostrou que é possível evitar o uso de sedação para tomografia computadorizada de tórax em crianças.
A exposição desnecessária à radiação é sempre uma preocupação, especialmente em crianças. Em nosso estudo, encontramos um produto dose‐comprimento médio em TCUBD de 27,5 ± 11,1 mGy.cm, que representa uma dose efetiva (DE) média estimada de 0,39 ± 0,15 mSv. Doses efetivas geralmente são um reflexo dos protocolos de TC escolhidos e, ao usar tubos de baixas correntes (15 a 30 mAs), voltagem no tubo de 80kV e pitch de 1.375, foi possível obter uma DE tão baixa. Isso seria equivalente a cerca de 25 radiografias de tórax pediátricas em projeção posteroanterior (PA) ou 10 com projeções PA e lateral (DE média em PA, 15,35μSv; DE média em PA + lateral, 40,2μSv).18 Comparado à tomografia computadorizada de tórax padrão, a TCUBD representaria uma diminuição significativa na emissão de radiação. Com protocolos de TC torácica específicos para idade e peso dos pacientes, Huda & Vance encontraram uma curva hiperbólica para valores médios de DE de acordo com o peso do paciente, começaram com aproximadamente 2,2 mSv para neonatos, caíram para um mínimo de 1,5 mSv para um bebê de 10kg e aumentaram novamente para 4 mSv para um adulto de altura normal.19 A dose efetiva média que encontramos representaria apenas 17%, 26% e 9,75% dessas doses. Um estudo suíço,12 que usou um protocolo de dose reduzida, demonstrou uma boa acurácia diagnóstica para nódulos pulmonares com a TCUBD associada às reconstruções FBP (do inglês Filtered Back Projection) e Asir quando comparada com a TC convencional e a TC de baixa dosagem. A dose efetiva foi 0,16 ± 0,006 mSv, ligeiramente inferior à apresentada neste estudo. No entanto, a maior diferença é que todos os indivíduos eram pacientes adultos, apresentavam uma taxa de artefatos de movimento muito menor.
Modelos de reconstrução, como Asir e FBP, permitem uma redução maciça da dose e preservam a qualidade da imagem. Já está bem estabelecido o uso potencial de técnicas de reconstrução de imagem com o uso da Asir para redução da dose de radiação em pacientes pediátricos.11,13 A Asir resulta em menor quantidade de ruídos e artefatos e é superior à FBP, já que essa última não considera detalhes como a localização precisa do foco, tamanho e localização dos detectores e ruído do sistema. Quando comparada com a técnica FBP isoladamente, a combinação da Asir e FBP pode reduzir a dose efetiva de 8.65mSv para 4.25mSv.20 O protocolo da TCUBD que usa a porcentagem de 50 na Asir para TC de tórax pediátrica já demonstrou a manutenção da qualidade de imagem com uma dose significante de exposição à radiação (0,31 ± 0,03 mSv) e boa acurácia diagnóstica para metástases pulmonares.21 Mesmo com parâmetros baixos como 80 kVp e 15‐30 mAs e alta taxa de ruído, a maioria dos exames em nosso estudo demonstrou qualidade de imagem excelente ou apenas uma leve alteração na definição, permitiu o diagnóstico em 98,9% dos casos.
Neste estudo, os protocolos de TC foram usados sem técnicas de retenção de respiração. Embora o diagnóstico de BO esteja geralmente associado ao aprisionamento de ar, decidimos não incluir aquisições expiratórias, já que a maioria das crianças não cumpriria as técnicas expiratórias adequadas sem AG. Estudos anteriores demonstraram que as áreas de aprisionamento aéreo e atenuação em mosaico são sinais indiretos de BO em exames de imagem, enquanto os nódulos centrolobulares seriam achados mais precisos para o diagnóstico final de BO.22 Além disso, o aprisionamento aéreo é um achado comum identificado em até 60% dos pacientes normais, é superestimado no diagnóstico de doenças pulmonares em crianças.23 Por essas razões, acreditamos que a aplicação de protocolos sem técnicas de retenção da respiração não afetou os diagnósticos finais e nossos resultados. Os achados mais comuns neste estudo foram nódulos centrolobulares, espessamento peribronquial, bronquiectasia, padrão em mosaico e atelectasia, o que está em acordo com dados prévios da literatura.24
A anestesia geral para imagiologia pediátrica é sempre uma preocupação. Estudos em imagens pediátricas demonstraram uma baixa incidência de eventos adversos (6,6%) para populações de alto risco, como o ASA 325 (paciente com uma doença sistêmica grave que não apresenta risco de morte), após receber Propofol ou Fentanil – os medicamentos mais usados.26 Por outro lado, uma revisão anterior com 923 pacientes pediátricos submetidos a exames radiológicos em emergência demonstrou uma incidência geral de 10% de eventos adversos, 0,76% dos principais eventos adversos necessitaram de intervenção, como hipoxemia, apneia e laringoespasmo significativos.27 Um tópico que está atualmente em discussão é o risco potencial de neurotoxicidade relacionado à AG. Stratmann et al.,9 em um estudo pré‐clínico com ratos, mostraram que os animais submetidos à lesão tecidual durante a anestesia apresentaram taxas semelhantes de prejuízo no desempenho da memória de reconhecimento aos ratos que foram anestesiados sem lesão tecidual. Outros estudos pré‐clínicos também demonstraram que algumas drogas de sedação podem estar associadas ao atraso do neurodesenvolvimento.7,8 Uma coorte retrospectiva com mais de 10.000 irmãos comparou crianças sem transtornos de desenvolvimento ou comportamentais que foram submetidas ou não à cirurgia quando tinham menos de três anos. O risco de ser posteriormente diagnosticada com transtornos de desenvolvimento e comportamentais em crianças operadas com menos de três anos foi 60% maior do que um grupo semelhante de irmãos que não foram submetidos à cirurgia (HR 1,6; IC 95%: 1,4‐ 1,8).10 Por outro lado, um estudo prospectivo conduzido por Davidson não encontrou evidências de que uma hora de anestesia na infância aumenta o risco de desenvolvimento neurológico adverso aos dois anos, em comparação com o grupo controle.28 Novos estudos ainda são necessários para demonstrar uma relação de causa e efeito entre o uso de anestesia geral em crianças e a disfunção cognitiva em longo prazo. Devido a esse grande dilema e ao crescimento de evidências que demonstram os riscos inerentes à anestesia,7 nenhum dos nossos pacientes foi submetido ao exame com sedação e, ainda assim, foi possível manter uma excelente qualidade de imagem, com uma baixa taxa de artefatos de movimento.
O uso de um TC multidetector de 16 fileiras em vez de um equipamento de geração mais nova é uma possível limitação deste estudo. No entanto, o tomógrafo de 16 cortes ainda é um equipamento amplamente usado em todo o mundo, aproximadamente 30%,29 o que aumenta a validade externa deste estudo. Estudos com um escâner de geração mais nova são necessários para corroborar nossos resultados, apresentados com o uso de um tomógrafo com 16 canais. No entanto, é razoável acreditar que os resultados serão ainda melhores com equipamento mais avançado, devido à melhor qualidade e à aquisição mais rápida de imagens. Além disso, a dose de radiação pode ser reduzida com TC de dupla fonte ou fonte única com 64 detectores e TC de fonte única com 128, 256 e 320 detectores. Estudos relataram doses tão baixas quanto 0,93 mSv para detecção de nódulos pulmonares com um tomógrafo de segunda geração com 320 detectores.30 Outros estudos também devem investigar o uso de tais escâneres para TC torácica em crianças.
Nosso estudo tem algumas outras limitações. Primeiramente, todos os participantes eram ambulatoriais e outros estudos deveriam tentar avaliar a TCUBD de tórax também em pacientes internados, com piores condições clínicas. Em segundo lugar, o tamanho da nossa amostra era de um único centro treinado. Terceiro, apenas três doenças pulmonares foram identificadas em nosso estudo. Estudos futuros também devem avaliar a qualidade da imagem em outras patologias. Quarto, testamos apenas a confiabilidade interavaliadores da escala de avaliação, e não a confiabilidade intraexaminador. Outra possível limitação é não ter incluído pacientes com suspeita de DPI devido à grande limitação do protocolo da TCUBD na avaliação dessa doença. Finalmente, todos os exames foram avaliados sem técnica expiratória, reduziram o achado de aprisionamento de ar, embora não seja necessário que esse sinal esteja presente para estabelecer um diagnóstico final de BO.
Em conclusão, nossos resultados demonstraram que a TCUBD de tórax sem sedação ou anestesia é possível de ser feita com uma dose de radiação submilisievert, com manutenção da qualidade de imagem, de forma a permitir a identificação da anatomia pulmonar e doenças pulmonares comuns.
Aprovação éticaTodos os procedimentos feitos em estudos que envolveram participantes humanos estavam de acordo com os padrões éticos do comitê de pesquisa institucional e/ou nacional e com a Declaração de Helsinque de 1964 e suas alterações posteriores ou padrões éticos comparáveis.
Conflitos de interesseOs autores declaram não haver conflitos de interesse.
Como citar este artigo: Dorneles CM, Pacini GS, Zanon M, Altmayer S, Watte G, Barros MC, et al. Ultra‐low‐dose chest computed tomography without anesthesia in the assessment of pediatric pulmonary diseases. J Pediatr (Rio J). 2020;96:92–9.






